[a / b / c / d / e / f / g / gif / h / hr / k / m / o / p / r / s / t / u / v / vg / vm / vmg / vr / vrpg / vst / w / wg] [i / ic] [r9k / s4s / vip] [cm / hm / lgbt / y] [3 / aco / adv / an / bant / biz / cgl / ck / co / diy / fa / fit / gd / hc / his / int / jp / lit / mlp / mu / n / news / out / po / pol / pw / qst / sci / soc / sp / tg / toy / trv / tv / vp / vt / wsg / wsr / x / xs] [Settings] [Search] [Mobile] [Home]
Board
Settings Mobile Home
/fit/ - Fitness


Thread archived.
You cannot reply anymore.


[Advertise on 4chan]


Got my x-rays done and turns out that I'm already withering away in muh 20s. Have mild osteochondrosis and have some osteophytes developing on my lower vertebrae. 15 degree lumbar scoliosis btw.
>>
It blows my mind that kids don't drink milk while their bones are still growing.
>>
>>77099553
HE NEED SUM MILK
>>
>>77099553
Inversion table + fasting + anavar
>>
Did you get any x-ray in the past? How do you know that you have developped it recently, when your bones should have formed a long time ago?
>>
>>77099653
Yes, I have, when I was 20. The cobb angle remained the same but I'm just surprised that I have mild osteochondrosis. According to the jews, it's normal to have such a condition. Funny, since I spam weighted pull ups every other day and yet nothing good comes out of it. Seems like I'm just accentuating my muscle imbalances.
>>
>>77099553
Basically everyone over 20 who does activity will have some osteophytes.
>>
>>77099673
Jewish science claims that it's rather genetic.
>>
>>77099769
imo they claim everything is genetic for three main reasons
>it's virtually unfalsifiable and basically everything is genetic to some extent
>they don't have sufficient evidence to concretely say what causes it and don't want to admit they don't know
>it implies you can't do anything about it yourself
inb4 they don't say everything is genetic because they absolutely fucking do
people unironically claim even obesity is genetic and they inexplicably can't eat less because muh geens
>>
>>77099572
Milk was a meme, especially a pasteurized milk
same with spinach
>>
eat calcium retard
half a gallon of milk and an eggshell every day to start
menaquinone4
>>
>>77099838
in the same way your body catabolizes proteins to produce sugar if you don't consume it, your body will dissolve its own bones to maintain calcium levels (often overdoing it; hard to raise serum calcium higher with diet than parathyroid hormone does on its own when deficient).
>>
>>77099838
Doesn't do shit. I drink 1L of milk everyday. I'm just concerned whether I'll be able to keep adding weight and gymcel regularly without worsening the situation.
>>
>>77099912
1l is a little over a gram of calcium which is adequate for prepubescent children and women. if you're male try to aim for upwards of 4 grams of calcium. also consider your dietary calcium to phosphorous ratio: if you consume a lot of meat, nuts, legumes, etc. your phosphorous intake is exceptionally high and you need to compensate with even more calcium.

and take menaquinone4
>>
>>77099927
Calcium intake and utilization is probably one of the best indicators of aging as evidenced by geriatric osteoporosis and skeletal injury risks, second maybe only to glucose oxidation and outright basal metabolic rate (though heavily related)
>>
>>77099938
"Metabolically, children are different species compared to adults"
https://haidut.me/?p=1588
>>
>>77099572
My parents watched one vegan documentary and switched to buying basedmilk for the duration of my childhood
>>
>>77100853
>being retarded enough to be swayed by propaganda that tells you to stop eating dairy alltogether
Your genetics needed to be removed anyhow, my condolences that you had to suffer for it
>>
>>77099553
Evidence suggests that dietary silicon (Si) and specialized silica nanoparticles play a significant role in promoting bone health, collagen synthesis, and cartilage repair, indicating potential to counteract degenerative bone and joint conditions. Studies demonstrate that silica can reverse age-associated bone loss, improve bone density, and reduce pain in knee osteoarthritis.

Take a bamboo silica supplement daily.
>>
>>77099553
post body
>>
>>77099665
>trained by the internet
>Huh why am I falling apart?
The great champions of yesterday trained differently than tiktok zoomies for a reason. No, this reason was not that they didn't know shit while zoomies have access to all the memes and abstracts on the internet.
>>
>>77099553

Foodwise you may try

-cheese from raw milk mixed with unheated honey
-raw beef

Also try a Reverse Hyper, like the Scout, to pump some "fluids up your spine".
>>
>>77099776
Everything IS genetic. I can't eat less because I'm a dysgenic piece of shit and nothing will change that.
>>
>>77101876
Wdym by trained by the internet? I just do basic calisthenics movements with added weight. I keep trying to add a rep/weight every other gym sesh. Simple as that.
>>
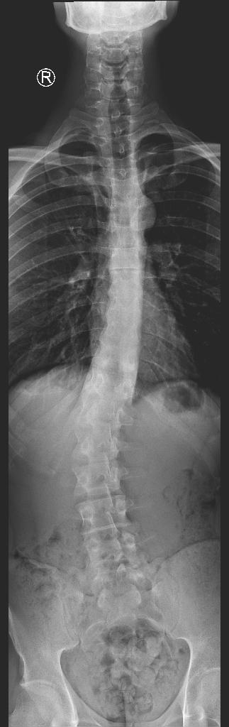
File: Image.jpg (37 KB, 323x1024)
37 KB
37 KB JPG
>>77099572
Milk doesnt do shit if you sit your ass all day on a chair. Pic rel my Xrays at 25 when i realised that something's fucked up and i should start working out.
>>
>>77103833
Why spine bendy?
>>
>>77099553
>>77103833
checking for scoliosis is like the one thing the school nurse does

didn't they pick up on this?
>>
>>77099553
you can't fix scoliosis, you can partially reverse it.
don't confuse the two.

>>77103885
god no they don't, it use to be a rigorous search, but not once in my school life did they look at us for scoliosis and that was in the 90s/2000s.
>>
File: shut up bitch.gif (1.53 MB, 498x314)
1.53 MB
1.53 MB GIF
>>77099553
So what? I've got scoliosis and lordosis. Stop being a pussy.
>>
>>77099665
Spam horizontal rows, inverted rows (even better)



[Advertise on 4chan]

Delete Post: [File Only] Style:
[Disable Mobile View / Use Desktop Site]

[Enable Mobile View / Use Mobile Site]

All trademarks and copyrights on this page are owned by their respective parties. Images uploaded are the responsibility of the Poster. Comments are owned by the Poster.