[a / b / c / d / e / f / g / gif / h / hr / k / m / o / p / r / s / t / u / v / vg / vm / vmg / vr / vrpg / vst / w / wg] [i / ic] [r9k / s4s / vip] [cm / hm / lgbt / y] [3 / aco / adv / an / bant / biz / cgl / ck / co / diy / fa / fit / gd / hc / his / int / jp / lit / mlp / mu / n / news / out / po / pol / pw / qst / sci / soc / sp / tg / toy / trv / tv / vp / vt / wsg / wsr / x / xs] [Settings] [Search] [Mobile] [Home]
Board
Settings Mobile Home
/fit/ - Fitness

Name
Options
Comment
Verification
4chan Pass users can bypass this verification. [Learn More] [Login]
File
  • Please read the Rules and FAQ before posting.

08/21/20New boards added: /vrpg/, /vmg/, /vst/ and /vm/
05/04/17New trial board added: /bant/ - International/Random
10/04/16New board for 4chan Pass users: /vip/ - Very Important Posts
[Hide] [Show All]


[Advertise on 4chan]


File: IMG_3079.jpg (214 KB, 908x657)
214 KB
214 KB JPG
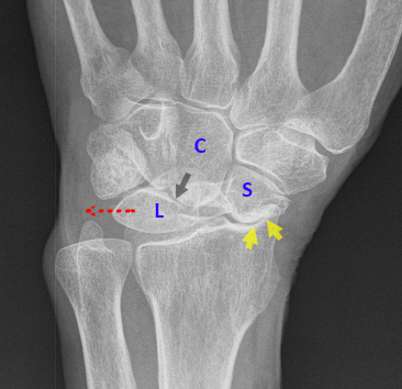
After 2+ years of back and forth with like 5 different doctors, I was finally able to convince one last month to send me for an MRI with contrast which show my wrist is completely fucked. There’s a lot wrong, but the biggest things are that I have a full thickness tear of my scapholunate (the surgeon literally said that it’s “gone”) and a partial tear in my TFCC. I need total reconstruction of the scapholunate and the jury is still out for how significant the tear in the TFCC is which will determine the surgical procedure they use for it. I know my wrist is never going to be the same, but has anyone else dealt with something like this before? I’d love to hear others’ experiences. Thanks!
>>
>>77194658
How does that even happen? Did you take roids or eat carnivore / keto?
Have you tried to eat heaps of lean meat
protein, peptidemaxing?
These injuries can heal on their own, by heal i mean the body compensates by making other things around injury stronger. There are top pro athletes with fully torn ACLs that have let them heal on their own
>>
>>77194745
Bro, it’s the most ridiculous shit ever. I literally made it through Marine Officer training and the thing that got my wrist was getting tripped up playing rugby and falling. Unfortunately, this won’t heal by itself. There’s nothing left to heal.
>>
>>77194658
>After 2+ years of back and forth with like 5 different doctors, I was finally able to convince one last month to send me for an MRI with contrast
America is so fucking bizarre. In my thirdie shithole I'd just go to a private clinic, pay a nominal fee and request and an MRI which they'd promptly book fo rme.
>>
>>77194785
In fairness, a year of that was military medicine which sucks. Then we were just trying to figure things out. It also didn’t help that things don’t hurt too bad, or maybe I’ve gotten used to the pain.
>>
>>77194658
You should ask armwrestlers what to do about your wrist. They fuck their shit up all the time.
>>
>>77194851
Really? I don’t know any arm wrestlers, but that’s a good idea
>>
File: 1775151377085156.png (268 KB, 366x354)
268 KB
268 KB PNG
I'm same ortho bro from /adv/
>>77194745
>How does that even happen
Falling in funny way.
>These injuries can heal on their own
lol, no.
These need surgery, the only way for the body to heal is with "auto" fusion.
>There are top pro athletes with fully torn ACLs that have let them heal on their own
Same athletes that claim they're natties?
>>
>>77195331
I didn’t even fall a funny way. I just got tripped and had a FOOSH lol. I’ve literally fallen from 20 ft before and walked away with some bruises. But it’s the 6ft fall onto turn that does me in lol

I was told that under no circumstances would this heal by itself, as you say. Especially since my SLL is “gone” according to the surgeon haha
>>
File: matrix-alien-pepe.jpg (245 KB, 800x800)
245 KB
245 KB JPG
>>77194658
I ain't even heard of no damn scapholunate, but do so many soft tissue specific PEDs that I've never needed surgery deeper than a little minor skin work despite some decently high-energy trauma, so maybe look in2 more of those for recovery.
>>
>>77195345
I’ll have to see what the surgeon says. All I know is my wrist is fucked up 10 ways to Sunday rn and will be for a while to come. I’m gonna lose so many gains…
>>
>>77195331
> same athletes that claim natty
The steroids do little for healing. But they do have access to medical doctors who go above and beyond compared to what you would receive as consumer. Read a story once about a doctor restoring knee cartillage after the athlete received a menisectomy through weekly growth hornone injections into the site of the knee itself. Apparently it did give good results.
>>
File: fact-pepes.png (738 KB, 1200x614)
738 KB
738 KB PNG
>>77195348
Collagen pepetides are the supplement meme with probably the best evidence for general soft tissue recovery currently, but there are dozens of others with somewhat less evidence, or more mixed, or more condition-specific evidence.
>>
>>77195350
>Read a story once about a doctor restoring knee cartillage after the athlete received a menisectomy through weekly growth hornone injections into the site of the knee itself. Apparently it did give good results.
Is it EBM?
>>
>>77194658
You’re gonna lose all your gains
>>
>>77195331
Steroids don't really help healing. Peptides do and a high lean protein diet. For OP the above will help, but maybe he needed his hand to be set long ago. I saw a Russian Dr on the jewtubee set this guys injured hand witout surgery, just xray and crunching his hand. I might find an update.
OP could fly to a 3rd world country and see what their surgeons can do. Don't go to India, too much risk v reward



[Advertise on 4chan]

Delete Post: [File Only] Style:
[Disable Mobile View / Use Desktop Site]

[Enable Mobile View / Use Mobile Site]

All trademarks and copyrights on this page are owned by their respective parties. Images uploaded are the responsibility of the Poster. Comments are owned by the Poster.