[a / b / c / d / e / f / g / gif / h / hr / k / m / o / p / r / s / t / u / v / vg / vm / vmg / vr / vrpg / vst / w / wg] [i / ic] [r9k / s4s / vip] [cm / hm / lgbt / y] [3 / aco / adv / an / bant / biz / cgl / ck / co / diy / fa / fit / gd / hc / his / int / jp / lit / mlp / mu / n / news / out / po / pol / pw / qst / sci / soc / sp / tg / toy / trv / tv / vp / vt / wsg / wsr / x / xs] [Settings] [Search] [Mobile] [Home]
Board
Settings Mobile Home
/int/ - International


Thread archived.
You cannot reply anymore.


[Advertise on 4chan]


File: IMG_1866.jpg (148 KB, 1290x633)
148 KB
148 KB JPG
Japanese man dies hours after completing world’s highest bungee jump in Macau.

A 56-year-old man died just hours after he had completed the world’s highest bungee jump from the Macau Tower.

The man, a Japanese tourist, had become short of breath and stopped breathing after completing his jump around 4.30pm local time on Dec 3, Hong Kong news outlet HK01 said.

The man was taken to the Conde S. Januario Hospital for emergency treatment but was later pronounced dead.
>>
I blame red bull marketing team.
>>
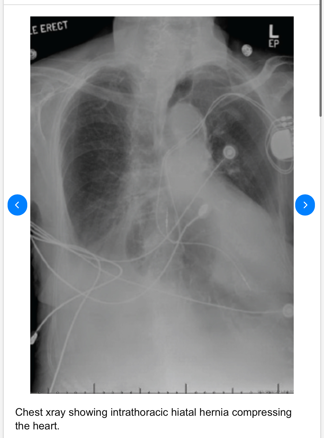
File: IMG_0565.jpg (785 KB, 1284x1733)
785 KB
785 KB JPG
>>219794664
My guess is he had some kind of pre-existing hiatal hernia and the force of the jump coupled with the rapid deceleration forced the hernia through his diaphragm and ended up compressing his heart, leading to cardiac arrest.
>>
>>219794664
and?
>>
>>219794664
>people dying :|
>people dying but japanese :o
>>
>>219794664
Maybe we weren't made to be falling out of the sky
>>
Is this the new kamikaze
>>
>>219794716
that's an extremely specific guess given very limited information. I am not sure this is behavior a medical professional should engage in.



[Advertise on 4chan]

Delete Post: [File Only] Style:
[Disable Mobile View / Use Desktop Site]

[Enable Mobile View / Use Mobile Site]

All trademarks and copyrights on this page are owned by their respective parties. Images uploaded are the responsibility of the Poster. Comments are owned by the Poster.