>xhe does not have enough space for wisdom teeth in xhis countryare you a jawlet or a jawchad in your country?t. 3 out 4 wisdom teeth haver
>>220890796It was the 4th one that did me in
>>220890796I had them removed at age 18, long before they were about to come out, because there was no chance they would fit. And they would have undone all the progress my braces made
>>220890893Fucking brootalJawpill is really the worst pill
>>220890796I'm a jawlet and some of my premolars were removed to fix crooked teeth. All of my wisdom teeth are fine though, never impacted other teeth.
>>220890796i have all of mine. never saw the point of it and when i was younger my dentist said it wasn't necessary.
>>220890893ugh i bet you are soft, submissive and breedable
>>220890796My mom made me chew hard stuff as I was growing up so I developed a proper jaw and had no problems with wisdom teeth.
>>220890796i have a small jaw and a narrow palate but all my wisdom teeth came through just finestrange
>>220891422Congrats, many of us weren't that lucky and we had dumb whore mothers who would prepare us goyslop processed food
Jawchad, have them all
>>220891523Your mum does not deserve to be spoken of in this way
>>220890796I have them all without any problems even though my dentist was keen to yank them out. Makes you think there is some sort of dentist racket going on. They try to pressure people into removing them so they can sell them as potency boosters to the Chinese or something.
I am not giving mine away, no sir.
Removal operations and not healing properly was very annoying. Should have just ripped them all in one session and be done with it.
>>220890796My jaw is pretty narrow by all my wisdom teeth grew straight, what's you're next cope
>>220892179bro ur jaw isn't narrow stop capping
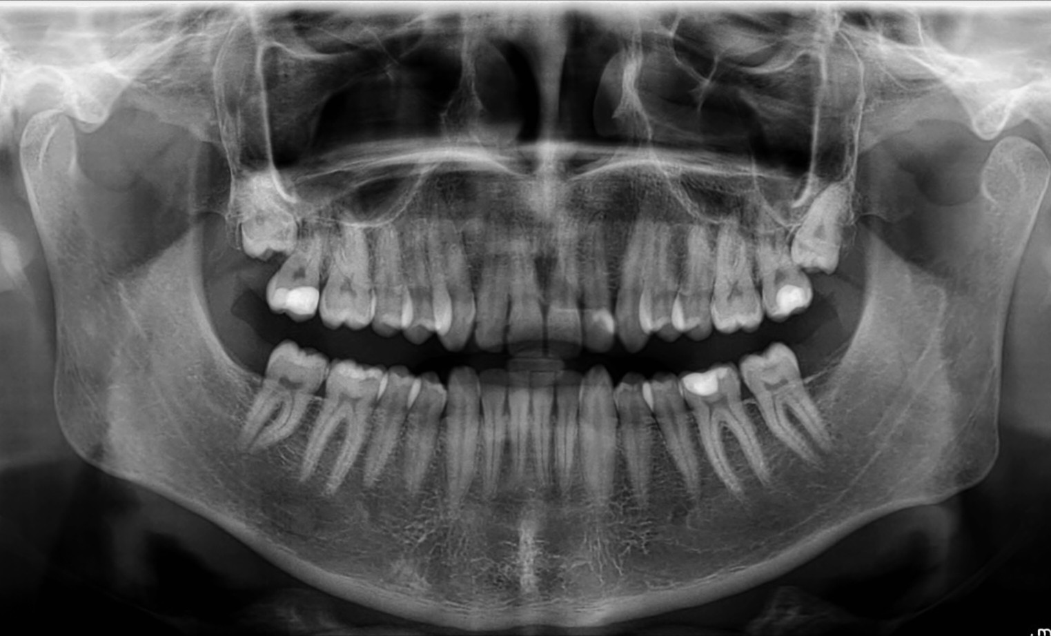
>>220892179Post the orthopantomograph
>>220890796I didnt know what they were until like 20yo because they just grew out like normal teeth for me. Still look like a jawlet though because my posture is shit which pulls my jaw back
>>220892179If your face is narrow but you have good forward growth you can still have healthy straight teeth. If you have narrow jaw and also very little forward growth it's completely over
>>220891422Actually, chewing hard doesn't affect crooked teeth at all. crooked teeth is just a genetic problem. British and Japanese have crooked teeth because we have eaten fish instead of hard meat or hard grain.
>>220890796Never had any problems with my wisdom teeth, but when I had a molar removed, one of them grew out from my gums. Caused me a lot of pain for a few weeks before it finished emerging.
>>220892229My jaw is narrower than my cheekbones, which means it's narrow.
>>220892365Just stop sucking on cocks.
>>220892684Projecting much?
>>220892365Release the orthopantomograph files
>>220892741What
>>220892747>>220891765
>>220890796I did and all four of them erupted.But then the bottom ones got cavities somehow because of terrible enamel but I didn't knowSo I had a life threatening chest infection probably ultimately because of that and then also they both broke open years later which is how I found out, and after a year or so of ignoring them I got them both pulled. And now it's been a month and the holes are still healig slowly.They are AMAZING to have though you can eat really fast simply because you chewmaxx so well, I miss them already, goodnight sweet princes.
I had some fucked up incisors as a kid and had two removed on both upper and lower row, so my wisdom teeth came out whole
>>220892764I don't have anything like that. I had some rengen on my teeth but it was like 5 years ago if not more
No problems, I have a good jawline I think
>>220892921You got a regular intraoral one then.
>>220892299>Crooked teeth result from a combination of genetic predisposition (inherited jaw size/tooth shape) and environmental factors (habits, diet, development). Genetics typically determine the space available in the mouth, while environmental factors like prolonged thumb-sucking or early loss of baby teeth dictate how the teeth move
>>220890796I also have 3, and the fourth I lost only because it had a cavity for like a decade I didn't do anything about and then it finally split when I bit into a burger and I had to have it removed.
>>220891321My jaw is underdeveloped and looks chopped as hell
>have a decent jawline but a shitty looking chin
my dad never had any wisdom teeth at all so couldnt even be removed
>>220892299it's the rice not the fish. so long as you balance it out with hard roots or stuff that requires chewing you'll be alright
>>220890796many such cases in our grainfed society
>>220890796I had mine, but too much Coca-Cola made me extract one of it early this year.
Still have all of mine as a certified non-mouth breather
>>220892693Sucking much?
>>220890796It's not about the space you have, it's about the position they spawn in