[a / b / c / d / e / f / g / gif / h / hr / k / m / o / p / r / s / t / u / v / vg / vm / vmg / vr / vrpg / vst / w / wg] [i / ic] [r9k / s4s / vip] [cm / hm / lgbt / y] [3 / aco / adv / an / bant / biz / cgl / ck / co / diy / fa / fit / gd / hc / his / int / jp / lit / mlp / mu / n / news / out / po / pol / pw / qst / sci / soc / sp / tg / toy / trv / tv / vp / vt / wsg / wsr / x / xs] [Settings] [Search] [Mobile] [Home]
Board
Settings Mobile Home
/pol/ - Politically Incorrect


Thread archived.
You cannot reply anymore.


[Advertise on 4chan]


I'm a college educated person and I can tell you that nothing on this website would survive a peer reviewed academic study.

Literally everything I read here comes from conspiracy theories, like this whole idea of black white IQ, any college student could debunk it using sociology. No college student will agree with your vaccine conspiracies, we're all vaccinated. We all agree that gender and sexuality is a spectrum and there's nothing beneficial about cisheternormativism. The way we improve society is getting over these weird superstitutions like homophobia and transphobia, and we do that by overturning capitalism which is the system that is structurally set up to divide us. Then you take a look at things like global warming, immigration, etc and you have ZERO studies to back your arguments.

Again, I'm a college student, you aren't.
>>
>>524105148
>I'm a college educated person
Nobody cares, meme flag you are a jeet
>>
>>524105148
>I'm a college educated person
Aka a retarded faggot.
>>
Human intelligence is highly heritable. https://www.nature.com/mp/journal/v16/n10/abs/mp201185a.html
Scientific consensus is that IQ tests are not racially biased. https://www.sciencedirect.com/science/article/pii/S0160289608000305
Very poor Whites are comparably intelligent to very wealthy blacks. https://www.jbhe.com/features/49_college_admissions-test.html
Privately, intelligence experts hold more hereditarian views than they express in public. https://www.udel.edu/educ/gottfredson/reprints/1994egalitarianfiction.pdf
Black children raised in White households have similar IQs to black children in black households. https://psycnet.apa.org/psycinfo/1977-07996-001
The average African IQ is estimated at 79. https://www.sciencedirect.com/science/article/pii/S0191886912003741
The average African-American IQ is 85, compared to the average White IQ of 100. https://www.udel.edu/educ/gottfredson/reprints/1997mainstream.pdf
The white-black gap in SAT scores, a proxy for IQ, is increasing. https://www.jbhe.com/features/49_college_admissions-test.html
Genes for large brains, linked to high IQ, are common everywhere except Africa. https://www.wsj.com/articles/SB115040765329081636
Intelligence has a 40-50% genetic basis. https://articles.latimes.com/2011/aug/10/news/la-heb-genetic-study-intelligence-20110809
IQ scores are the best predictor of success in Western society. https://psychology.uwo.ca/faculty/rushtonpdfs/PPPL1.pdf
IQ is 75% heritable among Whites. https://psychology.uwo.ca/faculty/rushtonpdfs/PPPL1.pdf
92% of Mulatto (black man, white women) children are born out of wedlock. https://papers.ssrn.com/sol3/papers.cfm?abstract_id=2625893
>>
Thats why i always say fuck you retard
>>
The average African-American IQ is 85, compared to the average White IQ of 100.
http://www.udel.edu/educ/gottfredson/reprints/1997mainstream.pdf#page=2
The average Black has an IQ score 1 standard deviation (15 IQ points) lower than the average White.
http://www.gifted.uconn.edu/siegle/research/correlation/intelligence.pdf
Blacks are more prone to psychopathy and less capable of empathy than Whites.
Blacks are 80% more likely than Whites to neglect their children.
Blacks have less moral understanding that Whites.
Blacks are more reckless than Whites.
Blacks are twice as likely to subject their children to severe violence than Whites.
Black women are more than twice as likely as White women to abuse their husbands.
Black youth are two and a half times as likely as White youth to have raped someone.
Blacks are more likely to kill their spouses than other races.
Blacks are 50% more likely to cheat on their spouses than Whites.
Blacks have less perseverance than other races.
http://www.sciencedirect.com/science/article/pii/S0191886901000290
"Racial and ethnic differences in psychopathic personality" by Richard Lynn
Blacks are more likely than Whites to be narcissistic.
http://www.sciencedirect.com/science/article/pii/S0092656611000912
>>
Privately, intelligence experts hold more hereditarian views than they express in public.
http://www.udel.edu/educ/gottfredson/reprints/1994egalitarianfiction.pdf#page=3
The Black-White IQ gap is heritable.
http://benthamopen.com/contents/pdf/TOPSYJ/TOPSYJ-3-9.pdf
Human evolution is not merely ongoing but is in fact accelerating.
Human races are diverging into separate species, not mixing into one.
https://www.pnas.org/doi/10.1073/pnas.0707650104
15% of the human genome has been under selective pressures since the races separated.
http://www.amazon.com/Troublesome-Inheritance-Genes-Human-History/dp/1594204462
Nearly every reliably measured psychological trait, especially IQ, is significantly influenced by genetic factors.
http://cdp.sagepub.com/content/13/4/148
Human evolution took place as recently as 500 generations ago.
http://biorxiv.org/content/early/2015/06/19/018929
Pigmentation and the melanocortin system modulate aggression and sexuality in humans as they do in other animals.
Darker pigmented people average higher levels of aggression and sexual activity, and lower IQ.
https://www.mendeley.com/catalogue/31d99f4a-2eb8-3f55-823f-98bcf01631c4/
The world’s thirty least intelligent countries (except for Haiti) are all in sub-Saharan Africa.
http://journals.cambridge.org/action/displayAbstract?fromPage=online&aid=8492613&fileId=S1832427400010045
>>
Academically, the average poor White male does as well as Blacks who aren’t in poverty.
Only 12% of Black eighth grade males are proficient in math.
Only 12% of Black fourth grade males are proficient in reading.
(aitch) (tee) (tee) (pee) (colon) (slash) (slash) (double-u) (double-u) (double-u) (dot) nytimes (dot) (cee) (o) (em) (slash) 2010 (slash) 11 (slash) 09 (slash) education (slash) 09 gap (dot) (aitch) (tee) (em) (ell) ? (underscore) r (equal sign) 0
"Proficiency of Black Students Is Found to Be Far Lower Than Expected" by Trip Gabriel
Very poor Whites are about as intelligent as very wealthy Blacks.
The White-Black gap in SAT scores, a proxy for IQ, is increasing.
http://www.jbhe.com/features/49_college_admissions-test.html
The Black-White IQ gap still exists and has not decreased in size.
http://emilkirkegaard.dk/en/wp-content/uploads/The totality of available evidence shows the race IQ gap still remains.pdf
Blacks have lower emotional intelligence than Whites.
http://onlinelibrary.wiley.com/doi/10.1111/ijsa.12069/abstract
Students of all races perform worse in schools with more Black students.
http://www.usnews.com/news/articles/2015/09/24/study-finds-students-underperform-in-schools-with-large-Black-populations
Black children raised in White households have similar IQ scores to Black children in Black households.
http://psycnet.apa.org/psycinfo/1977-07996-001
>>
>>524105148
>im a college educated person
You went to jewish daycare?
>>
File: IMG_3630.gif (397 KB, 320x240)
397 KB
397 KB GIF
>>524105148
Quality bait. Others are arguing in good faith. Im simply going to question your sexuality with a tone of superiority. *dabs*
>>
Skin color is the best biological predictor of IQ.
https://www.sciencedirect.com/science/article/pii/S0160289613000949
"Relationships Between Skin Reflectance and IQ in Japan and the United States" by Donald I. Templer and Hiroko Arikawa
Recent research in genetics demonstrates that certain racial, and also ethnic, categories have a biological basis in statistically discernible clusters of alleles.
http://stx.sagepub.com/content/30/2/67.abstract
The average African IQ is estimated at 75.
http://www.sciencedirect.com/science/article/pii/S0191886912003741
The average African-American IQ is 85, compared to the average White IQ of 100.
http://www.udel.edu/educ/gottfredson/reprints/1997mainstream.pdf#page=2
The average Black has an IQ score 1 standard deviation (15 IQ points) lower than the average White.
http://www.gifted.uconn.edu/siegle/research/correlation/intelligence.pdf
Blacks are more prone to psychopathy and less capable of empathy than Whites.
Blacks are 80% more likely than Whites to neglect their children.
Blacks have less moral understanding that Whites.
Blacks are more reckless than Whites.
Blacks are twice as likely to subject their children to severe violence than Whites.
Black women are more than twice as likely as White women to abuse their husbands.
Black youth are two and a half times as likely as White youth to have raped someone.
Blacks are more likely to kill their spouses than other races.
Blacks are 50% more likely to cheat on their spouses than Whites.
Blacks have less perseverance than other races.
http://www.sciencedirect.com/science/article/pii/S0191886901000290
"Racial and ethnic differences in psychopathic personality" by Richard Lynn
>>
The White-Black gap in SAT scores, a proxy for IQ, is increasing.
http://www.jbhe.com/features/49_college_admissions-test.html
The Black-White IQ gap still exists and has not decreased in size.
http://emilkirkegaard.dk/en/wp-content/uploads/The totality of available evidence shows the race IQ gap still remains.pdf
Blacks have lower emotional intelligence than Whites.
http://onlinelibrary.wiley.com/doi/10.1111/ijsa.12069/abstract
Students of all races perform worse in schools with more Black students.
http://www.usnews.com/news/articles/2015/09/24/study-finds-students-underperform-in-schools-with-large-Black-populations
Black children raised in White households have similar IQ scores to Black children in Black households.
http://psycnet.apa.org/psycinfo/1977-07996-001
Privately, intelligence experts hold more hereditarian views than they express in public.
http://www.udel.edu/educ/gottfredson/reprints/1994egalitarianfiction.pdf#page=3
The Black-White IQ gap is heritable.
http://benthamopen.com/contents/pdf/TOPSYJ/TOPSYJ-3-9.pdf
Human evolution is not merely ongoing but is in fact accelerating.
Human races are diverging into separate species, not mixing into one.
https://www.pnas.org/doi/10.1073/pnas.0707650104
15% of the human genome has been under selective pressures since the races separated.
http://www.amazon.com/Troublesome-Inheritance-Genes-Human-History/dp/1594204462
Nearly every reliably measured psychological trait, especially IQ, is significantly influenced by genetic factors.
http://cdp.sagepub.com/content/13/4/148
>>
>>524105148
I'm a PhD and I think you're a fag.
>>
With enough data points, an individual will never be closer related to someone of another race than someone of their own race.
http://www.genetics.org/content/176/1/351
An individual’s geographic origin can be determined from their genes with remarkable accuracy.
http://www.nature.com/nature/journal/v368/n6470/abs/368455a0.html
In Europe, culture corresponds closely to genetic group.
http://www.ncbi.nlm.nih.gov/pubmed/23390109
Jews, Blacks, and women were instrumental in turning the scientific consensus against the validity of race.
https://www.academia.edu/5625303/Race_and_Anthropology_A_Core_Concept_without_Consensus
Academically, the average poor White male does as well as Blacks who aren’t in poverty.
Only 12% of Black eighth grade males are proficient in math.
Only 12% of Black fourth grade males are proficient in reading.
>>
>>524105148
Mid quality bait.
Fuck off.
>>
File: IMG_2841.png (1.23 MB, 1080x1483)
1.23 MB
1.23 MB PNG
Show us your MENSA membership card and your flip phone. Who the hell cares…
>>
>FBI crime statistics 2019
https://ucr.fbi.gov/crime-in-the-u.s/2019/crime-in-the-u.s.-2019/topic-pages/persons-arrested

>FBI crime statistics 2018
https://ucr.fbi.gov/crime-in-the-u.s/2018/crime-in-the-u.s.-2018/tables/table-43

>At each poverty concentration level, the violent crime rate is substantially higher in black than in white census tracts.
http://archive.is/iRPsZ#selection-127.113-131.174

>Race is a better predictor of crime than poverty.
http://www.colorofcrime.com/2005/10/the-color-of-crime-2005/

>Black Americans have an average IQ of 85
https://www1.udel.edu/educ/gottfredson/30years/Rushton-Jensen30years.pdf

>Chronic adult criminals have an average IQ of 85
https://archive.is/iRPsZ#selection-131.67-131.126

>Melanin concentration may directly correlate with aggression.
http://www.sciencedirect.com/science/article/pii/S0191886912000840

>IQ and self-reported lifetime violence accounts for racial disparity in criminal justice processing
https://www.sciencedirect.com/science/article/pii/S0191886913000470

>The Black-White IQ gap exists even when both races are raised in identical environments.
http://www.sciencedirect.com/science/article/pii/016028969290028P

>93% of Black men who are murdered are killed by other Black men.
http://www.bjs.gov/content/pub/pdf/bvvc.pdf#page=3

>The Black-White IQ gap exists even when both races are raised in identical environments.
http://www.sciencedirect.com/science/article/pii/016028969290028P

>The percentage of Blacks and Hispanics in an area, not poverty, is the best predictor of crime.
http://www.colorofcrime.com/2005/10/the-color-of-crime-2005/

>Confessions of a public defender
https://www.amren.com/features/2014/05/confessions-of-a-public-defender/

>"The2-repeat alleleof the MAOA gene confers an increased risk for shooting and stabbing behaviors."
https://pubmed.ncbi.nlm.nih.gov/24326626/
>>
>>524105148
8/8, m8!
>>
>>524105148
I'm college-educated, and this site doesn't go far enough into what you call misinformation, disinformation, and conspiracy theories.
The monopoly of truth by the institutions of the liberal regime must be abolished
>>
File: asian vs white skulls.png (172 KB, 375x420)
172 KB
172 KB PNG
>>
>>524105387
>>524105416
>>524105587
Talk to my college professor.
>>
>>524105148
>The way we improve society is getting over these weird superstitutions like homophobia and transphobia,
Your jewish faggotry has caused an unsustainable and terrifying decline in fertility. Extinction looms. No one wants to hear your mental retardation. Please get JewGPT to write your next shitpost, its quality is subpar. No one above the age of 10 would saying "could debunk it using sociology", not even a real leftoid is quite that incoherent. Niggers tongue my anus.
>>
File: Chinese vs white brain.jpg (172 KB, 648x1050)
172 KB
172 KB JPG
Asian brains are shaped significantly differently
>>
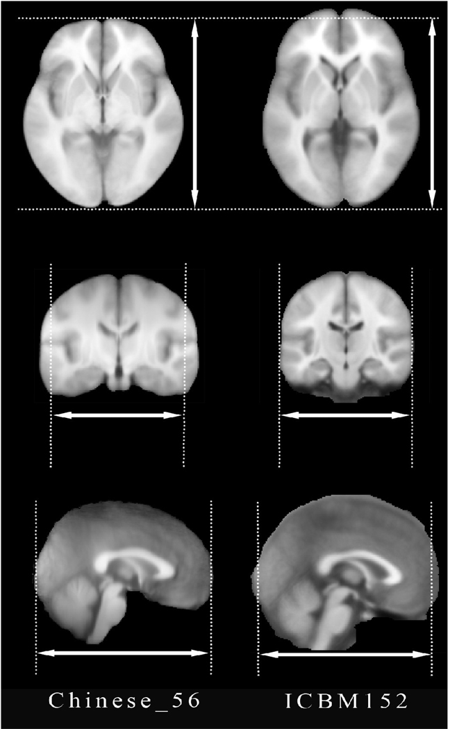
File: 56 substructures.png (315 KB, 554x1660)
315 KB
315 KB PNG
>>524105747
>>
why do people respond to obvious memeflaggot bait threads? what do you hope you achieve?
>>
>>524105148
>I'm a college educated person
I had a legit "Hark!" from that.
>>524105680
>my college professor
Please post field(s) of study, lets learn together!
>>
>>524105747
>>524105777
Comparable studies on blacks have not been publicized because of racism allegations.
>>
>I'm a college educated person
Appeal to authority and credentialism

>like this whole idea of black white IQ, any college student could debunk it using sociology
You can use sociology to study biology?

>No college student will agree with your vaccine conspiracies, we're all vaccinated
>we are
Anecdotal

>We all agree that gender and sexuality is a spectrum and there's nothing beneficial about cisheternormativism.
>we agree
Appeal to the norm

>Then you take a look at things like global warming, immigration, etc and you have ZERO studies to back your arguments.
Because academia is heavily politicized and people going against the grain lose their titles. It is also bought and paid for by interests (similar to how big big tobacco financed studies showing no link between lung disease and smoking)

>Again, I'm a college student, you aren't.
credentialism, again.

The one thing you have a point about is capitalism (and socialism too btw) trying to divide us, so we fight over stupid shit (tranny bathrooms which is a non issue) instead of uniting to fix society (who owns the banks, media, finance).
>>
>>524105148
>pissing about the sea of piss.
newb.
>>
>>524105148
>college educated
That basically translates into liberal brainwashing and not any real valuable knowledge. You learned LGBT and white man bad, thats about it. All for the low price of 100k in student loan debt, pay it back and dont forget to pay interest!
>>
File: 1592245098795.png (215 KB, 910x792)
215 KB
215 KB PNG
Another Asian brain study
>https://pdfhost.io/v/.HkvIPaq5_Interethnic_differences_in_neuroimaging_markers_and_cognition_in_Asians_a_populationbased_study
>>
File: cat.png (108 KB, 304x276)
108 KB
108 KB PNG
>nothing on this website would survive a peer reviewed academic study.
Home Sapiens have sub species.
>>
File: 1619462924688.jpg (350 KB, 1280x1266)
350 KB
350 KB JPG
>>
>>524105799
RIP in peace, Dr. Watson.
>>
Peer reviewed. Unless you are going to be a professor or consultant you aren't going to have a lot of time to peruse peer review to make any decisions. You are just going to read emails, type data, collate data, and have most everything told to you in meetings where some apathetic human mammal is dialing it in to make their Subaru payment. You may try to engage in intellectual conversations but people's eyes will just glaze over because they too only want to get it done and make the Subaru payment. They aren't trying to innovate and break new ground and discover the minutiae of every single point of everything down to it's inception. They just want Subaru paid. And soon so shall you. It's your youth and good for you for being proud of learning to critically think. But a truly intellectual person never has to tell another person of any accomplishments or pursuits. That enlightenment is only for learning truly the story of others, how they got to where they are, how they survive the prison planet and stay sane, and most importantly, how they make that fucking Subaru payment every single month. You learn now only to learn of others, lest you become an obnoxious prick saying I'm smart. Nobody likes a wise ass kid. If you were smart you would always know you know nothing at all. Peer review that.
>>
>>524105148
Bait.
>>
File: 1611529584973.png (3.7 MB, 2394x5960)
3.7 MB
3.7 MB PNG
>>
File: 1659290031384736.png (135 KB, 1160x493)
135 KB
135 KB PNG
>>
>>524105781
>what do you hope you achieve?
It give me something to destroy, virtually no matter what field he says my personal work is tangent to it, if its one that I havnt made connections to I will now, and in learning abour his field I will simultaneously take it over and redefine how it is understood by huemanity.

Thats why, I do it a lot, for fun, and work, because work is fun.
>>
File: 1712945914275443.jpg (384 KB, 1538x1866)
384 KB
384 KB JPG
>>
>>524105148
Fuck off leftist vaxxed nigger faggor
go back to plebbit where you belong
>>
File: 1554420881515.png (110 KB, 572x532)
110 KB
110 KB PNG
>>
File: 1549789324050.png (82 KB, 493x926)
82 KB
82 KB PNG
>>
>>524105148
I reviewed your assertion with your peers, they all say you're a faggot and a poo (like Apu, get it?).
>>
>>524105148
You're still in college at your age? How fucking pathetic
>>
>>524105148
2/10 ragebait
>>
File: 1537166154769.png (262 KB, 1056x1672)
262 KB
262 KB PNG
>>
>>524105148
>This site is a sea of misinformation, disinformation, and conspiracy theories
true, but so is college. case in point all that nonsense you just spewed. anyways the entire peer review process and many of the major journals are corrupted by money and political bias so you can't just automatically believe it, automatic belief is just faith not science. you can't even trust the process, you have to judge for yourself, but few people are experts on anything and no one is an expert on everything, so judging for yourself is hard, and when stupid people do it they say stupid things. but it is what it is.
>>
Let's talk about the state of the "intelligence" debate. Is intelligence a genetic, or environmental phenomenon?

Perhaps the most significant study on this matter is the Minnesota Twin Experiment:
>https://pdfhost.io/v/8wIYyGVPV_bouchard1990
Which studied identical twins separated at birth and raised in different homes. By comparing them to fraternal twins raised in the same home, estimates of genetic influence could be determined. It was found that most psychological traits were around 40% heritable, but intelligence specifically was 70% heritable. Meaning that intelligence is overwhelmingly genetic. More recent estimates place this number as high as 86%.
>https://www.ncbi.nlm.nih.gov/pmc/articles/PMC4002017/
This means that intelligence is one of the most heritable traits we know of. even more so than total body height.

Anecdotally, it was found that many of the twin-pairs had extreme similarities in their lives. With similar habits, similar medical conditions, similar hobbies. They took similar jobs, married similar people, and even named their children similar names.
https://www.youtube.com/watch?v=3hpOLZdy8QA
https://www.youtube.com/watch?v=qw3S35wGgT8
https://www.youtube.com/watch?v=Q0xk--PhhHA
>>
>>524106171
It is also known there are massive racial differences in intelligence. The liberal side of the debate attests these differences are due to environmental influences. A study in this vein sought to promote this conclusion. They tested black children adopted into white households, and found a slight increase in IQ:
>https://pdfhost.io/v/CduPNmz99_scarr1976
However, this study was ruthlessly criticized by Richard Lynn and Arthur Jensen, who pointed out that blacks in the north have higher IQ than blacks in the south. Therefore, this study actually showed zero increase in IQ score for the adopted blacks
>https://pdfhost.io/v/HztJwZSJP_Lynn_rebuttal
Sandra Scarr, the lead researcher behind the study, apologized and admitted she biased the conclusions.
>https://pdfhost.io/v/FG4YU.N6e_scarr_apology
This was a longitudinal study, which re-examined the same children after 10 years. The original study was conducted by Sandra Scarr and overseen by Richard Weinberg. But the follow up study included a new person, Irwin Waldman. It's notable that Weinberg and Waldman are both jewish, while Scarr is not. With the release of their subsequent study, the trio doubled down on the conclusion that their study supported a predominance of environmental influences on IQ scores, seemingly ignoring the apology of their less savvy gentile compatriat.
>archive.is/slTYG
This assertion is not supported by their data though, and hereditarians such as Arthur Jensen, Charles Murray, and Richard Lynn properly assert that this study is strong evidence for a hereditarian worldview.

More evidence to this effect comes recently.
>https://pdfhost.io/v/jg1r3PiRZ_Genetic_and_environmental_contributions_to_IQ_in_adoptive_and_biological_families_with_30yearold_offspring
A study of adopted children that finds no correlation between the children's IQ, and that of their adoptive parents. But a significant correlation to the IQ of their biological parents.
>>
>>524105148
I'm convinced this overcredentialed mindset is why Canada is where it is today.
>>
File: YouMad.jpg (16 KB, 319x243)
16 KB
16 KB JPG
>>524105148
blud
>>
One great red-herring in this research is the Eyfreth study. This was a study of half-black rape babies in Germany after WW2. It found the IQ of these blacks was not much different from that of ordinary Germans. However as Charles Murray points out, this study is beleagured by problems. For example, a great number of the "blacks" are actually North Africans. Furthermore, the US army did not permit lower IQ blacks in the service, so it's not a random sample of blacks. Considering the low sample size, and the numerous problems, this study is superceded by a great many of other studies which form a chorus suggesting that mixed-race children have IQ between their parent's races. However, this study is cited and referenced repeatedly everywhere by those promoting this worldview.

People such as Thomas Sowell have hinged much of their worldview on this study.
https://www.youtube.com/watch?v=7dXsHTtI7qs
>>
>>524105148
>I'm a college educated person
This statement translates into
>I'm a retard, and can only gaslight
>>
>>524106202
>>524106262
One more thing which should be said, there is strong evidence that heritability increases with age. In other words, you can raise the IQ of a young child, but when they grow up their IQ pretty much settles on where it was always going to be. Their brain becomes less plastic, and hardens into the mold that is predetermined by their genetics. Numerous studies attest to this, which are cited here:
>https://pdfhost.io/v/jg1r3PiRZ_Genetic_and_environmental_contributions_to_IQ_in_adoptive_and_biological_families_with_30yearold_offspring
Numerous studies that purport to show great increases in IQ through education are often examining the IQ of teenagers or children. This is disingenuous.
>>
>>524105148
>peer review
KILL
YOURSELF,
FAGGOT.
>>
File: hitler-cape.jpg (83 KB, 727x991)
83 KB
83 KB JPG
>>524105148
I have a Masters Degree
Fuck you
Heil Hitler
>>
>>524105148
I am a grad student and "peer review" is meaningless they peer-reviewed Kyber-512 and missed multiplying two costs that should have been added ergo falsely reporting the security goal as high and pushing a pile of trash.
Scientific fraud is an industry these days
>>
>>524105148
The black white IQ is not a conspiracy.
But people do not actually read the papers.
Blacks have a large percentage of genetic freaks that are very hard stuck in low IQ but if you would eliminate those, which is not a huge %, the remaining blacks would overlap with whites in IQ distribution, blacks being able to reach the very tops.
Now you cannot eliminate that for sure as the genes themselves are working in tandem, are environment activated and they're not perfectly mapped and even if they were people wouldn't purge those lmao. So as a fact blacks have lower average IQ, when you take them as a group.

But genuinely, there's no problem with them otherwise, this is why it's a bit dumb to treat them like subhuman, it's just a continental human group with some unfair mutation that persist.
>>
>>524106262
>Furthermore, the US army did not permit lower IQ blacks in the service
The ww2 alba and beta tests were their first in US and very rudimentary, by the results the overwhelming US population was mentally underdeveloped, they did not yet begun to filter by IQ as they later did for army service.
>>
File: Pepe Trismegestus.jpg (122 KB, 500x647)
122 KB
122 KB JPG
>>524105148
Dude I don't know what hot piece of dyed-haired, pierced and tattoo'd ass got to you but trust me when I say she's gonna wreck your life, ruin your sexual appetite and leave you for someone else and she is NOT worth adopting these positions over.
Quit while you can.
>>
>>524108462
This. That bitch will have OP troon out in the end if he doesn't turn his life around.
>>
>>524108462
OP is a jeet, and is talking about an Indian school.
>>
>>524105148

Post doctorate ex military specialist in theoretical and applied physics who has worked on numerous USACPs here. Civil academia is allowed to progress only to the extent that the deep national security infrastructure allows. Anyone with a very high degree of education will tell you that science intersects very strongly with what you dismiss as religious hogwash. Illiterate christians from the swamps of Louisiana are, in many respects, closer to understanding the truth than your avg portland hipster with a gender studies degree.

t - someone way more educated than you.
>>
>>524105148
>Im a college educated blah blah blah

You're a massive jeet/kike faggot with aids and toe fungus
>>
>I'm a college educated person
And my dad works at Nintendo
>>
File: 1763543237175265.jpg (66 KB, 512x512)
66 KB
66 KB JPG
>>524105148
>be OP
>capitalism is evil
>gets paid by pfizer to do vaccine research
>helps to hide the results
>gets paid
>goes to 4chan to boast about his superiority
why are you people like this?
>>
>>524108515
Her and all her friends will also abandon you eventually.
>>
>>524105148
I am sure you totally put your own claims through a rigorous peer review process and aren't just trying to impose a rules for thee not for me type of ruleset.
>>
>>524105148
At least 25% of /pol/'s users are federal agents.
This board is the place where the people who decide what you're taught let off steam. You are nothing more then a pawn to schizos slinging shit at each other over their pet theories.



[Advertise on 4chan]

Delete Post: [File Only] Style:
[Disable Mobile View / Use Desktop Site]

[Enable Mobile View / Use Mobile Site]

All trademarks and copyrights on this page are owned by their respective parties. Images uploaded are the responsibility of the Poster. Comments are owned by the Poster.