[a / b / c / d / e / f / g / gif / h / hr / k / m / o / p / r / s / t / u / v / vg / vm / vmg / vr / vrpg / vst / w / wg] [i / ic] [r9k / s4s / vip] [cm / hm / lgbt / y] [3 / aco / adv / an / bant / biz / cgl / ck / co / diy / fa / fit / gd / hc / his / int / jp / lit / mlp / mu / n / news / out / po / pol / pw / qst / sci / soc / sp / tg / toy / trv / tv / vp / vt / wsg / wsr / x / xs] [Settings] [Search] [Mobile] [Home]
Board
Settings Mobile Home
/tv/ - Television & Film


Thread archived.
You cannot reply anymore.


[Advertise on 4chan]


I just found out my aunt has dementia, I apologize for making fun of him, it's fucking grim
>>
>>215652103
tell her to take deez every morning, she'll fell better
>>
>>215652129
Who's Steve Jobs?
>>
>>215652103
My dad died from this shit a month ago. It's brutal to watch. He left me over 400k tho.

I just wish i could take him fishing.
>>
>>215652103
good
hopefully this will stop his demon daughter from exploiting him on social media for clout
>>
File: 1762093608732396.jpg (50 KB, 523x523)
50 KB
50 KB JPG
I just found out my aunt has dementia, I apologize for making fun of him, it's fucking grim
>>
>>215652200
I talked to my aunt a few months ago and she was normal
Fast forward 3 months and she's eating like a toddler and asking where's her mother (she's 65)
>>
i've granted a close friend lasting power of attorney in case i ever lose my mind. don't trust my family, i know they'll keep me alive.
>>
Is there anything scarier than dementia?
>>
>>215652103
I'd like to know what the fuck is going on because it's just too common now when it used to be rare, and as with everything else big pharma is NOT looking for the cure.
>>
>>215652317
It's because the general lifespan is increasing
>>
>>215652288
drugs have freaked me out in some horrific ways. DMT and withdrawals from opioids. the shit people say about salvia and heroin is 2spooky4me.

sorry to say, but you meet those people where it IS permanent. schizophrenia or psychosis, even sober.
>>
>>215652288
Yes, Demintia
You make shit movies like The Substance
>>
My grandmother has dementia, and neither my dad or her other children told her when my aunt died because they didn't want to upset her.
>>
>>215652332
It's the same as when retards freak out when they look at cancer stats increasing, when it really means that more people are making it to cancer age rather than dying of cardiovascular 10-15 years earlier
>>
>>215652332
how do you explain those 'fit in their 90s' old men? is it just looking after your physical health -> remaining mentally sound?

something surreal about seeing elderly people who are coherent. both my grandparents were just 'old', my parents started forgetting names and things in their 50s, i'm just generally more stupid even in my 30s.
>>
>>215652385
probably the right decision tbqh.
>>
>>215652398
aside from luck, those people were often physically active in their seventies and eighties, by the time you're 40 you need a plan to get your rear in gear on a daily basis if you don't want your body and/or mind to waste away by the time you're 70.
>>
>>215652288
Rabies and fatal insomnia disease
>>
>>215652398
>is it just looking after your physical health -> remaining mentally sound?
I'm not an expert by any means but that's basically it. I think food, sleep and exercise are the big three beside genetics but that's out of our control so it's irrelevant. I'm kinda glad I got really bad with alcohol and weed in my early twenties so hopefully I've got that out of my system for good.
>>
My mom is being more and more forgetful. Losing her car keys, wallet and glasses 10 times a day. She even asked me last week what we were going to eat 15 times. This shit fucking scares me, bros... i made a doctors appointment next week and they're gonna do a few tests.
>>
>>215652317
1. Heavy metals blocking neurotransmitters
2. Lack of healthy fats in the brain. People are still retarded about diet (eg staying away from eggs because they have "cholesterol" or eating only the whites to avoid the fat and nutrition of the yolk) and have no idea how crucial eating fats and nutrients in proper ratios to each other are (people tend to only take omega 6, ignoring 3s which are required in sufficient ratios)
3. Meds. I cannot impress this enough; statin drugs especially starve your brain of fats, amplifying point 2 above. So even if the person eats their avocados and bacon regularly, the body no longer breaks it down and utilizes it properly, and once starved starts sapping it from the brain. This is a big part of the reason why scans of dementia/alzheimers patients' brains look all cracked and dried up. The tissues it needs to function are simply gone.

Keto/low carb can help reverse the effects, the problem is most people don't want to change their lifestyle.

I made my dad keto cycle for a year and he regained full faculties and was healthier than ever, then he went to the dr who scared him back on the meds, which he prefers bc now he can eat candy and cake 4 times a week and cookies for breakfast instead of being responsible. But when he was on keto he reported way higher energy levels and that his mind felt sharper than it had since his 30s.
>>
>>215652288
Being a Joe reader.
>>
>my father died young from cancer
>years later, grandpa was starting to lose it
>one day casually asks grandma if my father's home from work

That was by far not the worst of it. I'm telling you right now, it is literal hell for both sufferer and caregiver. If you've been there, you know.
>>
File: 1759589945718669.jpg (930 KB, 2048x1335)
930 KB
930 KB JPG
My father has rapid onset dementia. He gets up at 1:30am, puts his shoes and hat and gloves on and sit in a chair until the sun rises. Yesterday he announced he was going to bed, it was 3pm. He does not remember his siblings, friends, parents, anything about his life, or mine, and lives on ice cream and English muffins.
Talk to your parents while you still can, young anons.
>>
Is there anything scarier than dementia?
>>
File: Skello.gif (467 KB, 475x347)
467 KB
467 KB GIF
>>215653869
It's on par with death itself.
>>
File: 1402118809078.jpg (143 KB, 1280x720)
143 KB
143 KB JPG
>>215653841
My mother developed dementia recently. While she was in hospital, she asked me about a friend of hers, they'd known each other for 30 or 40 years.

Had to tell her they died 5 years ago. She didn't believe me. She couldn't even remember she was at the funeral.
>>
>>215652103
you don't have to make shit up anon. dementia is one of those things that don't just pop up out of no where. you don't ''just find out'' about it lmao
>>
>>215653973
tip: just make up something, say they're far away, idk
otherwise you'll probably have to tell several times her friend is dead
my aunt asks about her mother and her sister just say she's far away in a place where she can't comeback
but i guess each person has a different kind of dementia
>>
File: ThumbsUpLizzy.gif (1.17 MB, 268x268)
1.17 MB
1.17 MB GIF
>>215654065
It's called a diagnosis.
And yes, sometimes it does.
>>
>>215653859
>puts his shoes and hat and gloves on
I didn't hear you say shirt or pants
>>
>>215654100
Fully dressed and READY TO GO! ....nowhere. This includes long underwear in the summer.
My bad. Guess I left myself open to that one.
>>
>>215654097
you're wrong. it's something that takes a lot of time and effort on others paying attention. next time work out a better story
>>
My uncle had Alzheimers and my aunt tried taking care of him. She did get a nurse to sometimes help. Thrn he passed and a few years later she ended up showing signs and my cousins had to admit to her a nursing facility.
>>215652385
Yeah. Same with my aunt when my dad, her brother, died. It was tough going to see her after and worrying she's ask where he was. I think one time she did ask we said he was yired from going to treatments.
>>
Grandfather passed away this year at 91. Still was functionally well, drank hard liquor every day, smoked cigars had a full set of hair and travelled the world. Died from a heart attack in his sleep

Could only hope I can have a life like that
>>
>>215652500
This but my dad. My mom has some arthiritis and teeth issues but otherwise is decent. My dad forgets his phone and small things like that and has eye problems. I had to move back home with them and work at his business to help him. I’m scared.
>>
>>215654146
Color me convinced.
>>
My mother is 74 and she's just as lucid as ever. Sucks to have dogshit genetics I guess.
>>
I just found out my aunt has gender dysphoria, I apologize for making fun of him, it's fucking grim
>>
>>215654178
i wish you could find out either way if this was going to be you. my family is a mix of early-onset dementia and 'smoke/drank every day until his 90s'.
>>
all of us should be put down when we reach a certain age and when we lose what made us people
>>
>>215652278
Good days and bad days. It's heartbreaking watching somebody slowly lose their memories and personality. I hope I go quickly. I was thankful my mom had her mind until the end. At least she died as the woman she was, and among people she remembered and loved. I'm very grateful for that.
>>
>>215654178
My grandad got to 92. Didn't smoke and only drank occasionally. He walked more than my dad and I did. Well, after he had a triple bypass in his early 70s. It was a wakeup call and he got out and walked. He probrably would have made it to 100 if bladder cancer hadn't popped up thar last year or two.
>>
>>215652103
Play familiar music for her, particiarly old songs that hold sentimental value. Keep showing her photos of special moments to keep the memories fresh. You can't defeat dementia, but you can slow it down by keeping their minds active with the memories and things they cherish.
>>
Valid use case for euthanasia, along with advanced old age.
>>
>>215652173
Ligma balls
>>
>>215653973
I have to keep it a bean with you, if my mom had Alzheimer's, let alone dementia, I would smother her in her sleep, she is no longer there, and taking care of her alone would be mental
>>
File: 1637607342453.jpg (35 KB, 534x640)
35 KB
35 KB JPG
How do I stop this happening to my father? He's almost 70.
>>
>>215652200
Sorry for retarded question but how do you die from dementia? Doesnt it just make you forgot things and whatnot? Like how does it actually kill you?
>>
His family are satanic pieces of shit for just abandoning him. Your family is your highest priority in life, your father even moreso. I bet they're all partying and having the time of their life after they dropped him off, probably being abused by the staff there.this is just the normal we expect now that we've abandoned Christ.
>>
>>215655219
you can't. take the euthanasiapill anon (or at least, make him).
>>
>>215655342
Thats illegal in my country
>>
>>215652103
>kids live off the wealthy you accumulated in your life
>can’t be bothered to take care of you when you’re old and need help

Many such cases
>>
>>215654178
None of us can.
>>215655169
No need to talk bullshit, bigboy.
>>
This is happening to my dad but his general doctor is a useless retard. What do?
>>
>>215652103
My dad has dementia. Pretty early stages but it sucks. He doesn't retain information. Asks me how my house is even though I moved out of it 6 months ago
>>
>>215652398
There is definitely a link. Stay active in both mind and body
>>
>>215655438
True. Problem solving helps.
What happens to elderlies is their physical capacity becomes so degraded, they give up on their bodies. And then it becomes a very weird line, in regards to how much autonomy you take away from them.
More you take, the more accelerated the decline seems to be.
Remove ALL IF IT, and they go absolute batshit, as anyone would.
>>
>>215655237
Stop eating eventually

He also had parkinsons so he was double fucked
>>
>>215655169
I mean probably but that would take something out of you too and the risk of being caught is relatively high
>>
>>215655237
Sometimes your heart stops beating, because that part of your brain FORGETS. I am not kidding.
It is straight fucking nightmare fuel.
>>
>Go downstairs
>German Shepard is standing in the corner like that one shot in Blair Witch
>Say his name and he doesnt move
>Walk up and touch his back
>Without moving starts viciously slobbering and growling
>5 minutes later acts like nothings wrong
>2 weeks later falls down the stairs as he now randomly stops knowing how to walk
>3 months after the corner incident is being put to sleep due to rapid onset dementia

Thats how i learned German Sheppards get it quite often due to a generic flaw from the inbreeding that created the breed its just not talked about like the back legs going because its rarer.

I saw my Great granded get it and i cannot tell you if its better or worse that the family dog gets it. A human doesn't suddenly go into attack mode because it thinks the family it protects are strangers coming in to attack a family it no longer remembers beyond the impulse to be a good dog and protect the house. Fucking brutal disease.
>>
i want to die from dementia so i don't know it's happening
>>
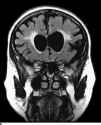
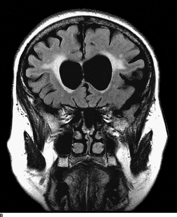
File: dementia.png (144 KB, 350x429)
144 KB
144 KB PNG
>>215655237
It literally eats your brain while you are still alive. The organ that contains your thoughts, your memories, your self, is literally melting away in real time. Its one of the worst things that can happen to a person. Eventually the parts of the computer needed to send impulses like "breath" no longer exist and they simply stop because the brain doesnt know how to tell the body to stay alive.
>>
>>215655605
it's a gradual process though. my dad gets really angry that he can't recall things.

what you're looking for is heroin. in end-of-life care, they put you on 'diamorphine'. you're old, so fuck it, why not?
>>
Is dementia a genetic thing or can one avoid it?
>>
>>215655712
if it could delete the pain/panic response maybe it wouldn't be as bad?

it's impressive how much people can still talk, language is just that ingrained. but my grandma didn't recognise anyone at the end. just kept begging for Jesus to save her.
>>
Are Alzheimers and dementia the same thing or different? How can I tell the difference between them because my dad is very forgetful now.
>>
File: 1762073206525716.jpg (345 KB, 1400x1400)
345 KB
345 KB JPG
>>215652103
Just the concept of old age, alone, makes me want to kys. Aging is incredibly overrated and I do not understand why anyone would want to live to that point.
>>
>>215655783
The human body can go through a catastrophic level of damage and continue to function in some manner. Its one of the reasons we are the dominant life on the planet.
>>
>>215655219
convince him of trying to do dangerous activities, like skydiving
>>
>>215652103
>84yo grandma got dementia
>Can't walk (fortunately)
>Live in a shithole
>Had to help my mom to take of her for 3 months before she died
>Yeah, help to take care of her shit, replacing diapers every day in the morning, afternoon and evening, listen to her sudden rumblings in the middle of the night, trying to feed her, carrying her naked to the bath once a few days to wash yada yada yada
>Slowly come to realization that this person is factually just a husk, as the most of her personality and all her memory are not there and each day we are a new people to her; so you just take care of a vegetable, helping it to die in as much comfort as possible, but it won't even be able to appreciate it

This illness is not fun at all.
We were lucky she was actually old and couldn't walk.
We've seen people in the clinic that took care of 50, 60yo parents. Who could walk. Or were fat. Or were bigass fucking dudes who you can't keep in place.
I feel bad for their caretakers. It was miserable to take care of 50kg grandma who will die soon anyway. And some people would have to take care of their vegetable for decades.
And it aint fucking cheap.
>>
>Mum does some work as a carer for company as emergency work after company goes under because tariffs.
>The shit she deals with with the dementia patient is horrid
>One "made her a cup of tea" and was trying to get my mum to drink a china cup of bleach
>Another thought a hat and coat on a rack was trying to rape them and pulled a fucking revolver
>Another just straight walked around with a kitchen knife stabbing at people all day
Its like the worst combination of a toddler, chris chan and a chimpanzee.
>>
>>215656688
I'll do you one worse:
>70 year old couple have to take care of 52 year old son who has rapid early onset dementia and is jacked and gets angry very easily.
>>
>>215655777
Some have it genetically but its very rare. Others have genes that make it much more likely, but arent guaranteed.
Life style plays a big role but nothing is guaranteed. Lots of healthy athletes get Alzhiemers. In the end its just a lottery crapshoot, though like the lottery you can increase decrease your odds.
I got shit Apoe4/4 genes so 50% odds by 65, 90% odds by 85 so I follow this shit hard.
>>
Imagine finding out you're dementie'd but the moment you find out, the dementia kicks in and you forgot abou it.
>>
>>215652200
It's gonna be brutal once the boomers start dropping, but good for us.
>>
>>215656871
>Life style plays a big role
What kind of life style do you follow as you increased risk?
>>
>>215652394
This is the dumbest Facebook aunt tier shit Ive read in months. Holy shit you are fucking retarded.
>>
My nephew just found out I have dementia.
It's fucking grim.
>>
>>215655582
>>215655712
Fucking hell how do you avoid this shit??
>>
>>215653869
skeletone with a bone-r
>>
File: Spoiler Image (366 KB, 1080x2424)
366 KB
366 KB PNG
My dementia just found out I have a nephew.
It's grim fuckin'
>>215656982
Smoke crack
>>
>>215652103
if this happens to me, i want to be taken behind a shed and put down.
>>
File: 1752691270682799.jpg (43 KB, 637x637)
43 KB
43 KB JPG
My papa had dementia and Alzheimer's
If I ever learned I was even developing either of those cunts I would off myself and announce the day I would do it. I'm going out with my memories intact you fucking cocksuckers.
>>
>>215652103
if this happens to me, i want to be taken behind a shed and put down.
>>
File: nervous.jpg (58 KB, 500x480)
58 KB
58 KB JPG
>google alzheimer's
>links are all purple
>>
>>215656943
Something called the Bredesen protocol you can look up. Did absolute wonders for my Dad for a decade. He was diagnosed, stuck to it, and it was crazy how little he digressed. Than for some reason I cant fathom he stopped, plus got Covid 3 months latter, and he degraded rapidly after.
Guys theory is there is 31 causes of Alzhiemers. There is no silver bullet, but lots of things that bend the odds in your favour. So he recommends a shit ton of supplements and this >>215652536. No idea what hes talking about with the statins. Its the #1 prescribed drug with a shit ton of data. Everything else is right on though, high Omega 3 low sugar. Keto stoping both insulin spikes well being anti inflammatory. Again though, it just bends the odds in your favour. There is no guarantee.
>>
>>215656688
>>Slowly come to realization that this person is factually just a husk, as the most of her personality and all her memory are not there and each day we are a new people to her; so you just take care of a vegetable, helping it to die in as much comfort as possible, but it won't even be able to appreciate it
Yeah it's an absolute cunt. My family and I have spent the last 3 years taking care of my Grandfather who is completely bedbound and unable to do literally anything more than swallowing mashed up food and watch TV (thank fuck the state decided to pay for a bed and a few 10 min carers visits a day to help clean him up) No way of telling whether he had any real awareness of anything around him. Honestly, if I thought I could talk everyone into accepting it, I'd give him a full bottle of morphine or open up a helium tank myself. No one would let a dog live like that, so why a man?
>>
File: nervous.png (368 KB, 500x480)
368 KB
368 KB PNG
>google alzheimer's
>links are all purple
>>
>>215652103
brain status?
>>
>>215657509
When big thinkers thunked too strong
>>
>>215656935
it will unironically be the end of the world once boomers all die off, i just don't see how millennials and beyond will be able to run the globe.
>>
>>215652243
>exploiting him on social media
You guys say this but then make a thread on it every day
>>
>>215657242
Statins regulate cholesterol uptake.
The drug crosses the blood-brain barrier and impacts cholesterol needed in the brain as well, not just the stuff you don't want in your McDonald's coated arteries. Without those fats, the brain kind of shrivels. It's not so irreversible for shorter lengths of time, but if the person is taking the drug non-stop for 20+ years it becomes a slippery slope to dementia and other cognitive problems.

I'm sure the impact of the drug and dementia rates are influenced by genetics, but essentially there are no easy shortcuts in life; if something's out of balance, you need to correct the cause, not the symptom of "too much bad cholesterol". Well-researched does not mean infallible, it just means their studies were designed around inherent flaws to increase marketability.

>>215657291
Underrated
>>
is there anything scarier than dementia?
>>
>>215658072
Probably not, It also won't surprise me if the majority of people in every generation post millennial ends up suffering from it. Being raised on technology and screens has likely messed up our brains in the long run.
>>
>>215652288
probably being steamed to death or fatal insomnia, sleep deprivation that lasts about a year, it's like dementia except you also completely forget what stability in any form is like.
>>
>>215652103
why is a millionaire being moved to a care home? they cannot afford a personal nurse? looks like they just wanted him gone
>>
File: 1744151678601103.gif (319 KB, 268x128)
319 KB
319 KB GIF
>>215657199
>>215657291
based
>>
>>215652103
Yeah, my mom's going through that right now. She went downhill so fast, it was scary. 2 years since the first very small sign and now she can barely talk or remember anything.
>>
>>215656967
elaborate
>>
>>215655472
My grandpa is going through this and it's awful.
Somedays I am talking to the man who taught me how to fish, shave, perform maintenance on a vehicle, gave me my first whiskey and other days I am talking to a stranger who's confused and scared and sometimes violent.
He asked me to get him a gun so he can end it all.
>>
>>215657142
Same. My dad has ALS and is at the point where he can barely blink and needs a breathing tube. Watching him go from this tall mountain of a man to an auschwitz looking twig has ruined the image I tried to maintain of him. Unfortunately him and my mom became born again Christians to a pretty strict church so assisted suicide is out of the question. She keeps saying she has to keep him alive so "Jesus can perform his miracle" but the truth is she has been trying to sue my brother and I out of his life insurance policy he signed over to us when we turned 18. Before he even knew she existed.
Thank god my brother and I are able to have each other to get through this. We made a pack to make sure that if either one of us becomes diagnosed with this we are going on a hookers, liquor, and blackjack world tour before pulling a Sky King.
>>
I smoke and drink quite a bit. I sometimes wonder whether I almost wouldn't mind dying at 50-60, even in horrible pain, but at least myself, of lung cancer / heart failure vs surviving to 80 but with dementia.
>>
File: 1687923963976961.gif (2.2 MB, 170x144)
2.2 MB
2.2 MB GIF
>>215658949
>being steamed to death
>>
>>215652200
how much in tax will you have to pay on that?
>>
>>215655783
>my grandma didn't recognize anyone
I'm an only child. My mother was a widow and my father died when I was a baby. Yet my grandmother though I was my father, still knew mom was her daughter... Then freaked out that little kid me was missing.
I don't wish dementia or having to deal with it on anyone. As bad as people who have yet to see it happen to families think it can be. It's worse...
At least Bruce has $$$$$$$$ to buffer the family impact.
>>
>>215652103
Apology accepted
>>
>huh... where am I?
>how did I get here?
>whats going on?
>w-why are these colored gentlemen so angry at me... what did I do?
>>
>>215661023
>much in tax
You don't pay tax on the first 13m+ of any estate. You do end up paying a percentage in probate, depending on how the estate was set up. Trusts and joint accounts can avoid that and smaller estates don't even need probate.
That's if you even file. Like my mom died 10+ years ago and power bill and cable is still in her name being nobody but me is left and I don't care.
The 13m is also you gift tax exemption. As in win lotto, give brother 2m. He pays zero tax. Your life time exemption then drops to 11m
>>
>>215657017
we don't really know
the best current advice is the usual "eat healthy, exercise, don't drink, stay mentally active" etc etc
>>
>>215652200
I'm sorry for your loss, friend.
My grandfather died that way as well. Just be happy you don't shitty, vulture family members.
>>
>>215656044
Most people don't want to die.
>>
>>215652288
Dewomentia
>>
Is there anything scarier than dementia?
>>
>>215661747
I've experienced fainting spells over the last few years, and I can tell you that the "post-event confusion" that happens when you finally come-to is a taste of what dementia can feel like... and it's horrifying.

I had one recently where I didn't actually pass out (because I could feel it coming and laid down), but I still had 1-2 minutes of total blankness and confusion. I could feel it dragging me under, and I was trying to force myself to monologue my way through it, but eventually I just stopped having thoughts. I was looking around the room trying to orient myself and I literally could not think of a single word or concept. It was like I was braindead but still looking around.
>>
>>215657017
dont use aluminum
>>
File: 1726717833503637.jpg (86 KB, 736x736)
86 KB
86 KB JPG
>>215652103

Bruce Willis will never recognize me!?
>>
I've watched family members die of dementia, it's just cruel. We need laws to allow us to end a person's suffering when they get to the late stages of dementia. It's no fun for anyone.

I still remember when my grandma was already in a home, and she had dementia, and watching it progress and get worse and worse to the point she was just a husk and put in hospice and then was left to die over weeks, it was just a horrible experience. It's fucking cruel. I don't want that to ever be me, I'd rather kms before it gets to that state.
>>
My grandma had it for years and was actually one of the happiest people I knew. late stage isn't so great as long but again some people have it worse than others
>>
>>215662429
iirc isn't the problem with dementia (for the victim) that it isn't just this slow loss of memory with you becoming progressively less aware until you die (which is sad, but technically painless for you), but that you constantly get these brief moments of lucidity and sheer panic where you realise what's happening to you and how your grasp on reality is slipping before you go back under again.
>>
>>215652103
forget all about it
>>
>>215662190
He might, so long as your criteria for recognising is him thinking that you're his childhood friend, Tommy, you're both 8 and you're in the middle of building a treehouse together.

Don't lose hope, Anon!
>>
When I found out my grandmother had vascular dementia I made the decision to not see her again. My dad put her in a home, and It's pretty selfish but I just didn't want to spoil my memory of her by remembering her being all fucked up (she forgot how to speak English and only spoke in French).
>>
File: 1741322230307456.jpg (35 KB, 424x572)
35 KB
35 KB JPG
My grandma is 93 and the worst she does is constantly mix up me and my brothers' names when she's talking on the phone (but not when she can see us). But she's been doing that for 20 years so I think that's pretty good all things considered. I just hope that's a good omen for my mom and me.
>>
>>215652353
i did all those drugs and im fine dude relax
>>
>>215652103
Literally two weeks left. Very sad, don't do drugs anons.
>>
>>215662842
glad to hear it. but i'm not fine, so i won't relax.
>>
>>215652500
Doctors and a big bag of daily pills is the problem anon.
>>
File: 1000032427.jpg (131 KB, 1400x788)
131 KB
131 KB JPG
>>215652103
Head's dead baby, head's dead
>>
>>215652288
The original thread for this was honestly one of the funniest /tv/ threads I've ever been in
>>
I hope everyone ITT plays video games or does puzzles daily
Engaging with interactive hobbies is what keeps stuff like this at bay, combined with a decent diet and a bit of genetic luck
Don’t just sit in front of a screen, try to do things that require your mind to problem solve in real time
Even simple platforming games, sudoku, etc engage the brain in positive ways
Reading is unironically not good enough - you need something that demands mental and physical coordination
The brain is like a muscle
>>
>>215663071
Does gooning help too?
>>
>>215663091
I’m sure having an actual sex life is healthy
Masturbation is just habit
Playing a Mario game requires you to quickly parse out distances, jumps, etc in a holistic way that improves all of your mental faculties
>>
>>215663071
i got Wordle on attempt #2 yesterday. complete fluke. freaked me out.
>>
>>215663157
the motel one? that's sick i got it in 4
>>215663071
i love sudoku so i'm fine there but what you said about reading better not be true because my mom is allergic to puzzles and loves to read instead
>>
>>215653841
My dad has parkinsons and dementia they often come together. It is a horrible double whack where both body and mind are shredded. We often find him in the morning on the floor in a puddle of piss moaning in agony as he wanted to get up in his confusion and his body wouldn´t work so he lays there for hours. We would frequently get up and check but you can´t keep this up for years so we sort of hope all will be well int he morning now.
>>
>>215663199
Reading is good in the sense that it keeps your mind active and is a good way to exercise the “communication/social” reflex we need to stay sane (look at why homeless people are so deranged - they don’t engage enough with communication)
But reading does not require the same kind of hand-eye coordination as other hobbies, and I don’t just mean stuff like working out
Sports and video games are healthy because they present you with new situations and problems that you can’t just reflexively act your way through
>>
File: 1460567622582.jpg (14 KB, 195x185)
14 KB
14 KB JPG
>Emma revealed that in the days before his diagnosis, his symptoms and behavior almost led her to want a divorce.
>"I felt like my marriage was crumbling," she told Vanity Fair in September. "This is not the person that I married," she thought. "Something is just so off."
>>
There was just a study out showing the shingles vaccine can reduce risk of developing dementia by 20%.
>>
>>215663389
i got shingles at 39 years old am I gonna get alzheimers?
>>
>>215663417
I would think having the antibodies should reduce your risk so I would say that lowered your chances.
>>
I hope i get dementia. just asking about my friends and trying to spar people lmao
>>
this movie fucked me up
>>
>>215652536
Not to cast doubt but what was your keto cyle for your dad because I did this shit for 2 years and my bad cholesti got worse (might have genetic shit) and they put me on statins I rather not be on



[Advertise on 4chan]

Delete Post: [File Only] Style:
[Disable Mobile View / Use Desktop Site]

[Enable Mobile View / Use Mobile Site]

All trademarks and copyrights on this page are owned by their respective parties. Images uploaded are the responsibility of the Poster. Comments are owned by the Poster.